診療案内Medical Information
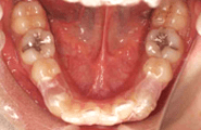
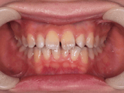
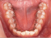
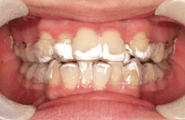
矯正歯科
Orthodontics

当院では、月に一度、日曜日に矯正治療を専門とする医師をお招きし、より専門的で安心できる矯正治療を行っております。
通常の診療では難しい症例やご不安な点についても、矯正専門医が直接対応いたしますので、安心してご相談いただけます。

矯正相談は無料で実施しておりますので、「自分に矯正は必要なのか」「費用や治療期間はどのくらいかかるのか」といった疑問や不安にも気軽にお答えいたします。
初めての方もどうぞ安心してご連絡ください。

なお、下記に記載している治療費はすべて税込価格となっております。

飯野祥一朗/矯正歯科医師
治療の流れ
  1. 初回相談・カウンセリング【無料】
  2. 精密検査【16,500円】

    資料採得後、分析します。(レントゲン撮影、口腔内写真撮影、歯型取り、願望写真撮影など)

  3. 診断・治療計画の説明【16,500円】

    精密検査の結果をもとに治療計画を立て、治療期間や費用、使用する装置の種類などを説明します。

  4. 治療開始
    矯正装置を装着し、実際に歯を動かしていきます。
    子どもの矯正治療(Ⅰ期治療)
    基本料金341,000円
    管理料(月1回)3,300円
    ※Ⅱ期治療に移行した場合、Ⅱ期治療の治療費から341,000円を差し引きます。

    大人の矯正治療(Ⅱ期治療)
    ・表側ワイヤー矯正880,000円
    ・舌側矯正装置1,100,000円
    ・インビザライン(マウスピース型矯正装置)1,100,000円
    ※インビザラインでは歯の移動が難しい場合、ワイヤー矯正を一時的に行う場合があります。
    ※インプラントアンカー埋入が必要になった際は1本22,000円別途かかります。
    ※Ⅱ期治療に関しては管理料込みの金額です。
  5. 保定

    綺麗に改善された歯並びを保持します。
    マウスピース型保定装置50,000円
    ※定期管理以後のマウスピース再作製は片顎5,500円となります。

お支払い方法
Payment Methods
現金一括払い、各種クレジット払いの他に、矯正Ⅱ期治療のみ院内分割払い(手数料無料)をお選び頂けます。詳しくはご相談ください。